Skip to content
11 3149-5190 | 0800-773-9973
FALE CONOSCO
IMPRENSA
Como ajudar
DOE AGORA
A Abrale
Quem somos
Como ajudar
Carta da Fundadora
Equipe e Comitês
Parceiros
Investimento Social
Balanço Social
Apoio ao paciente
Educação e informação
Políticas Públicas
Monitoramento de dados e pesquisa
Trabalhe conosco
Seja um voluntário
Instituto Merula Steagall
Fale Conosco
Loja Abrale
Cânceres & Doenças do Sangue
O que é câncer
Câncer infantil
Leucemias
Linfomas
Mieloma Múltiplo
Síndrome Mielodisplásica
Mielofibrose
Trombocitemia Essencial
Policitemia Vera
Anemia Aplásica
HPN
PTI
Leucemia – Linfoma de células T
Informações
Covid e Câncer
Direitos do paciente
Tipos de Tratamentos
Cuidados com o Paciente
Uso de medicamentos
Doação de Sangue
Fertilidade e câncer
Sexualidade e câncer
Fisioterapia e câncer
Alimentação e câncer
Atividade física e câncer
Terapia ocupacional e câncer
Serviço social e câncer
Cuidados Paliativos
Odontologia Oncológica
Cacons e Unacons
Doação de recursos
Voluntariado
Estatuto da Pessoa com Câncer
Serviços Gratuitos
Atendimento Nutricional
Atendimento Psicológico
Orientação SócioJurídica
Teleconsulta – Segunda Opinião
Projeto Bem-Estar
Comitê de Pacientes
Navegadores de pacientes Abrale
Comunidades Abrale
Projetos
Onco TeleInterconsulta
Projeto Dodói
Onco Ensino
Observatório de Oncologia
Rede Alianza Latina
Movimento TJCC
Onde estamos
Search
Open mobile menu
Close mobile menu
Search
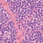
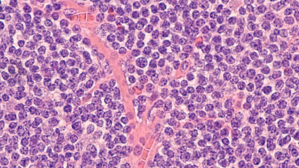
linfoma das células do manto
Back To Top
Search