Tudo sobre o Mieloma Múltiplo:
Última atualização em 14 de abril de 2026
Mieloma múltiplo: conhecer para combater!
Todos os anos, no mês de Março, a Abrale lança uma nova campanha de conscientização, é o #MarçoBorgonha.
Em 2023, a temática é “Mieloma múltiplo: conhecer para combater!”, com o objetivo de levar conscientização a respeito deste tipo de câncer do sangue.
Uma pesquisa realizada pela organização em 2023, com 164 pacientes, mostrou que 94% deles nunca tinham ouvido falar sobre o mieloma antes de receber o diagnóstico. 1/3 dos entrevistados alegaram ter demorado mais de 6 meses para procurar um médico, mesmo com o surgimento de sintomas – o número sobe para 45%, quando se faz um filtro daqueles que usam o sistema público de saúde.
Principais sintomas: neuropatia periférica (sensibilidade nos dedos das mãos e pés), dores ósseas- especialmente na coluna, cansaço extremo, fraqueza, perda de peso, mau funcionamento dos rins.
Conhecer o mieloma múltiplo é o primeiro passo para que toda a trajetória de tratamento possa ter bons resultados
Se você é paciente, familiar ou profissional que atua na saúde, compartilhe suas experiências! Levar informação pode ajudar a mudar esta realidade.
Continue navegando em nossas páginas sobre o Mieloma Múltiplo para saber mais e conte com a Abrale para lhe apoiar.
Saiba tudo sobre o Mieloma Múltiplo e como ele ocorre
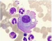
Plasmocitos Mieloma MúltiploO mieloma múltiplo, ou apenas mieloma, tem início na medula óssea, quando ocorre um defeito celular. No momento em que os linfócitos B se diferenciam e se tornam plasmócitos, ocorre então uma mutação, ou seja, um erro em um ou mais de seus genes, que devido a esse erro, passam a produzir plasmócitos anormais.

Mieloma é Câncer?
Estas células anormais são chamadas ‘células malignas’ ou ‘células do mieloma’. O Mieloma é um tipo de câncer mais frequente em pessoas acima dos 50 anos. Os plasmócitos defeituosos acumulam-se na medula óssea, formando os plamocitomas, que é considerado um “tumor maligno”, por se tratar de um aglomerado de células defeituosas a atrapalhar o bom funcionamento das células saudáveis.
Os plasmocitomas são tumores localizados, formados por um aglomerado de plasmócitos anormais. Eles podem crescer tanto dentro do osso, quer dizer de forma intramedular, como fora dele, ou seja de forma extramedular. Quando os plasmocitomas crescem dentro do osso, prejudicam tanto a produção normal das outras células sanguíneas como danificam a estrutura óssea, ao se expandirem para a parte sólida do osso.
Quando existem vários plasmocitomas dentro e fora do osso, chamamos essa condição de mieloma múltiplo. Como vimos anteriormente, a principal função dos plasmócitos é produzir as imunoglobulinas, responsáveis pela defesa do corpo.

Plasmócitos anormais produzem imunoglobulinas anormais, e porque não conseguem exercer suas funções de proteção, formam um amontoado de proteínas “bagunçadas”, chamadas proteína monoclonal ou proteína M.
Para entender melhor: a proteína monoclonal é uma imunoglobulina malformada.
Portanto, outra característica típica do mieloma múltiplo é o fato de a proteína monoclonal estar presente no sangue e na urina. A quantidade de proteína monoclonal presente no organismo irá variar para cada paciente, mas na avaliação da doença, é muito importante saber o quanto as células do mieloma produzem de proteína monoclonal, se muito ou pouco. A proteína M pode danificar os rins.












